矯正治療
- HOME
- 矯正治療
矯正治療
矯正治療は、外観のみを整えるものではありません。噛み合わせを良くし、健康な歯と歯肉を生涯にわたって維持していくことが大きな目的です。
難しいケースは専門医に診ていただきますが、軽度の場合当院で治療することが可能です。
歯の大きさは昔から変わりませんが、現代人は顎が小さいため、歯が並ぶスペースが繋がありません。歯並びが悪いと磨き残しや、噛み合わせの問題で歯肉炎や歯周炎になりやすいのです。矯正をして歯並びが良くなるとこれらの病気になりにくくなります。また、口のアーチが広がることで呼吸がしやすくなり全身の健康増進に繋がります。
矯正治療 CASE1
矢印の歯が内側に生えていて舌感が悪いので矯正しました。

矯正治療 CASE2
左下のインプラント希望で来られましたが、長期間、放置していたため上の臼歯が降りています。このままでは、歯が入らないので矯正で元の位置に戻しました。
このままでは歯が入らないのでアンカースクリューを用いた矯正治療を行い、元の位置に戻しました。
【術前】


【術後】




被せ物を被せたり、神経を取ったりすることなく、元の位置に戻しました。
【術前】

【術後】

矯正治療 CASE3
【術前】
虫歯が深く、歯茎より下に進行していました。
歯茎の下まで進行した場合、被せ物を被せることができません。
しかし、矯正を行い、治療することができます。




【術中】




【術後】


虫歯の治療を行い、被せものを被せることができました。
矯正治療CASE4
全体的に歯並びが悪く、お口のアーチも狭いです。
全顎的な矯正を希望されました。
【術前】


【術中】


【術後】


審美的に美しくなるのはもちろん、アーチが広がることによって呼吸がしやすくなります。睡眠の質が良くなり様々な不定愁訴等を改善することができます。
部分矯正を用いた親知らずの抜歯
≪なぜ親知らず抜歯をするのか≫
①親知らずの虫歯
②親知らずの隣の歯の虫歯
③歯周ポケットの形成
④歯科矯正による便宜的な抜歯
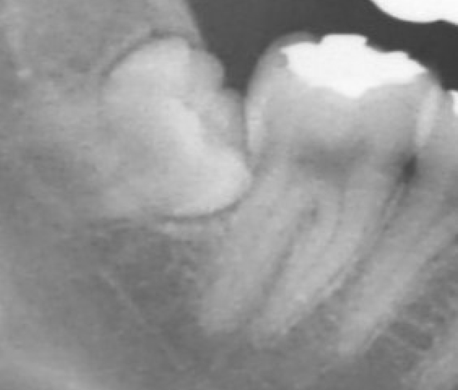
≪親知らずの生えている方向に注意!≫

- 親知らずが横向きに生えている場合、清掃不良となり、親知らずの前の歯が虫歯や歯周病になります。ですので、横向きに生えている歯は抜歯することをお勧めします。
【注意点】
骨、歯茎の中に埋まっている親知らずは、下歯槽神経という唇や舌の感覚を感じ取る神経に近接しています。
親知らずが神経に接触していると、抜歯の際、神経を傷付けてしまう可能性があるので、非常に危険な抜歯です。
≪当院での治療方法≫
患者様により安全で安心して抜歯していただきますよう、2回に分けて治療します。1回目は親知らずの頭を割り、矯正器具を付けます。その後、神経管から親知らずとの距離が取れたら抜歯を行います。




親知らずの根が下歯槽菅(神経の管)に当たっています。




親知らずの頭を切り、装置を付けて矯正で引っ張っていきます。




3週間~1ヶ月程引っ張り抜歯します。
【術前】


【術後】


神経を傷つけることなく安全に抜歯しました。