インプラント・再生治療
- HOME
- インプラント・再生治療
インプラントをお考えの患者さんへ
数年前のNHKのクローズアップ現代で、インプラントのトラブルについて特集がありました。
その反響は大きく、私達にも、よく問い合わせがあります、しかし報道は、適正を欠いた内容が多々あり、歯科医、患者さん共々に、迷惑が掛っています。
そこで、「インプラントの手術に関して、不安をお持ち方」に、コメントさせて頂きます。
インプラントは、「失った歯の機能を、回復できる優れた治療法」で、きちんとした技術を習得した歯科医が行えば、施術のトラブルは極めて少ないと言えます。
インプラント手術で、最も気を付けないといけない点は、「やり直しができないので、適正な位置に植立する」ことで、これが正しく行えない場合に、様々なトラブルに、発展します。主なトラブルは「下顎では三叉神経や血管の損傷、上顎では鼻腔や上顎洞への突き抜け」などがあり、これらは、手術中に、ドリルの方向、深さを、Ⅹ線やCTで、術中の診断をし、注意深く行えば、防ぐことができます。(※特に骨の幅や高さが少ない場合は、三次元の診断ができるCTの方が、より安全で確実な施術ができます)。
他科の手術についても同じことが言えるかと思いますが、患者さんが「、痛みや腫れを伴う手術を選択される判断基準」は、「それを上回るメリット」があるかどうかだと思います。
インプラントは下記のようなメリットがあります。
- 1~2本欠損→隣の健康な歯を削らなくて済む
- 2~3本以上の欠損→義歯をしなくて済む
- 無歯顎で総義歯→2~4本インプラントをする事で、義歯の安定度が増す。
などで従来にはない、「治療の質の向上」が期待できます。
総じますと、インプラントの利点は、患者さんが「よく咬め、他の歯も、長持ちし、快適な食生活ができる」ことにあります。インプラントは、適確に手術を行えば、問題ありませんし、素晴らしい治療法ですので、安心して受診されて下さい。
インプラント・再生治療
歯が無い顎堤に、チタン製の人工歯根を植え込み、失われた機能回復(咀嚼・会話)をする治療法です。
インプラントの利点
- 取り外しの義歯をしなくてすみます。
- 自分の歯のように、しっかりと噛めるので美味しく食べれます。
- 従来の治療では1本抜歯をしたら、前後の歯を削りブリッジを被せますが、他の健康な歯を削らなくてすみます。
- 噛む力がインプラントで負担できるため、他の歯も長持ちします。
CASE1.60代女性
下の歯が欠損しており義歯をされていました。
治療前

治療後

治療前

治療後

綺麗な歯が入り、喜んで頂けました。
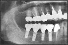
CASE

初診時の状態です。

インプラントとアバットメント(土台)を入れました。

術後、綺麗な歯・歯ぐきになり、満足されました。
骨の再生治療(上顎洞底挙上術)

インプラントは、骨の厚み(幅や高さ)がないとできません。
上顎の骨の厚みがない場合は、上顎洞内に骨再生を行うと、インプラントを植立できるようになります。
⇒歯槽頂アプローチ法・側方アプローチ法手術といいます。
①歯槽頂アプローチ法による手術
治療前


上下の骨の厚みがなく、このままでは、インプラントができません。
治療後

インプラントです。

上顎洞に骨を再生し、インプラントを埋入することができました。
②側方アプローチ法による手術
CASE1


上顎に骨の厚みがありません。



頬骨を取り除き、上顎洞内に付着している粘膜を剥離しています。


約10mmの骨再生ができました
CASE2


骨の再生治療(骨幅を増す手術)
主訴:25歳女性
保母さんで、子供の頭が口にぶつかり、歯が折れて歯肉に腫脹が生じて来院されました。
まだお若い為、治療後は、長期的な予後が求められます。



先に抜歯をすると、頬側の薄い骨が溶けて無くなってしまいます。インプラントを長期的に持たせるには周囲に最低でも2mmの骨の厚みが必要です。
さらに、骨が無くなってしまうことで歯肉が下がってしまうと、審美的にもきれいとは言えません。
このケースは、女性の前歯の治療ですので、特に審美面が美しくあることも要求されます。周りの環境も整えていくために、様々な手順を踏んで治療を行っていきます。
まず、骨の吸収、それに伴う歯肉の退行を防ぐため、根の一部を残し、それを矯正で骨上部まで引っ張りだします。

《矯正終了時》

十分な位置まで根が下がってきたら、骨造りを行い、骨幅を増します。
《インプラント前のGBR(骨造り)の手術》

《GBR(骨造り)前とGBR(骨造り)後》


骨ができたのを確認後、抜歯し、インプラントを埋入しました。


《初診時と治療後の比較》


歯ぐきの再生治療・CASE1

硬い歯肉が全く無く、根が露出しています。知覚過敏を起こされていて歯ブラシを当てれませんでした。

手術中です。


硬い歯肉が再生されました。
歯ぐきの再生治療・CASE2

歯ぐきに厚みがなく、根が露出しています。


歯ぐきの再生治療・CASE3
【歯肉の美容整形】
歯肉の形が悪いと綺麗な歯が入りません。
歯茎の再生治療を行い、陶器の冠を被せました。




ミニインプラント

高齢の方は、顎の骨が瘠せていることが多く、通常の太さのインプラント(直径3.7~4.2mm)は難しい場合があります。また、全身疾患を抱えている方が多く、手術を怖がられます。→このような方には、1.3mmの細いインプラントをお勧めします。このインプラントの特徴は*少量の麻酔ですみ、歯肉の剥離をおこないません。手術はとても簡単です。通常約30分で終わり、その日から普通に食事が出来るようになります。
80歳女性
現在装着の総義歯が合わないため来院されました。 噛めないため体が弱られていました。 このような患者さんは、決して大げさなことでもなく、「噛めることは生きること」に繋がります。


※歯茎が極度に痩せていて通常のインプラントはできません。


※義歯にインプラントが噛みこむ装置を付けます。
(現在使用中の義歯がそのまま使えます)


インプラント義歯
従来の総義歯に数本のインプラントを行うことで義歯の安定が向上し、よく噛めるようになります






下顎に2本、上顎に6本のインプラントを行いました