美容診療
- HOME
- 美容診療
美容診療
白くて綺麗な歯は、清潔感を与えます。
美しい歯
TVや雑誌にでてくる女性は、歯がとても綺麗です。美容の中で口元の美しさは大きなウェートを占めています。
当院は歯科医自らが技工を行っており、患者様に個性的で若返るような口元を提供します。特に女性が若返るような治療を行いたいと考えております。
アンチエイジング
私の意見では、アンチエイジングへの一番の早道は口元を綺麗にすることだと思います。
綺麗な歯を入れると、笑顔と顔の表情がとても良くなります。
口元に自信が持てると、顔の約半分を占めている表情筋が、生き生きしてきます。
歯が磨り減っている方は噛み合わせを高くするとシワが減ります。
口元を整えると、5~10歳位は比較的簡単に若くなれます。
美容診療 CASE1
矯正治療を併用し、陶器(ジルコニア)の被せ物を被せた症例です。
歯並びが悪いため、矯正をしました。
終了時、歯の色が合っておらず、歯ぐきが薄いです。
ジルコニアを長持ちさせ綺麗にするために 歯ぐきの処置を行っています。
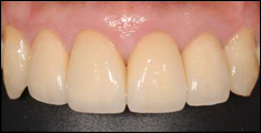
美容診療 CASE2
虫歯がひどく、また、冠と歯の色が合っていませんでした。
歯ぐきの治療を行い、ジルコニアを被せました。
美容診療 CASE3
【術前】 硬い歯ぐきがなく、根が露出していました。
矯正で引っ張り、歯ぐきの位置を下げました。
その後、歯ぐきの移植手術を行いました。
【術後】陶器の歯を入れました。




